عندما تكون القشور في اليد، لكن الألم على الوجه
أوكسانا
1️⃣ قبل — «دكتورة، القشرة سقطت مرة أخرى…»
أوكسانا امرأة جميلة وواثقة، تعيش منذ سنوات في دبي. خضعت لعلاج تجميلي سابق لدى طبيب آخر، وجاءت إلي… تحمل القشور بيدها.
🗣️ «دكتورة أولغا، لم أعد أتحمل. القشور تسقط، تتكسر، وأسنان تؤلمني. إذا لزم الأمر — أعيدي كل شيء. أريد أن أبتسم، لا أن أخاف!»
كلماتها كانت مليئة بخيبة الأمل. وهنا تبدأ الحكاية الحقيقية للتحول.


2️⃣ العملية — تصحيح الأخطاء والبدء من جديد
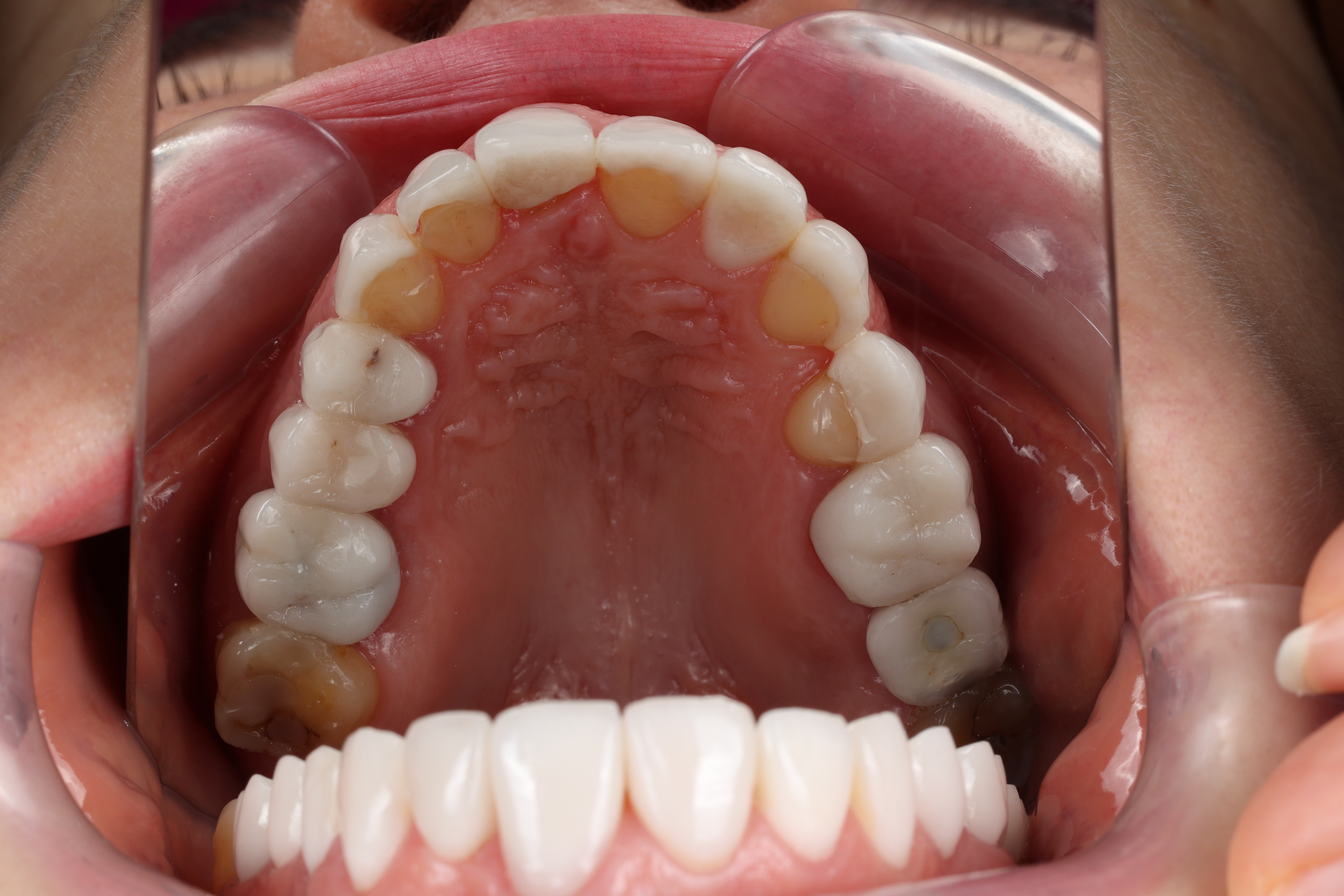
🔍 بدأنا بالتشخيص الكامل.
❗ أول ما لاحظته هو أن الأسنان قد بُرِدت بشكل مفرط. يجب تثبيت القشور على المينا — فهذا ما يضمن المتانة وطول العمر. وهنا، تمت إزالة المينا بالكامل تقريبًا. خطأ جسيم.
⚠️ ثانيًا، لم يُؤخذ التحليل الوظيفي بعين الاعتبار. لم تكن الأسنان الخلفية موازنة للعضة، فتكسر السيراميك وتعبت العضلات.
📷 أجرينا بروتوكول التصوير، صممنا العضة الفسيولوجية، ثم زودناها بتركيبات مؤقتة للتأقلم. وبعد ذلك صنعنا قشور وكراونات Emax مخصصة، مراعية للجمال والوظيفة.
3️⃣ بعد — عندما تعود الابتسامة دون سبب
✨ اليوم، أوكسانا إنسانة مختلفة: مشرقة، واثقة، حرة.
👩👧 «دكتورة، أبتسم الآن بدون سبب. حتى أطفالي لاحظوا ذلك وقالوا: “أمي، عادت ابتسامتك!”»
تسمي ابتسامتها الآن «الأجمل في دبي» — وأنا أوافقها تمامًا. لأن وراءها عمل دقيق ورعاية صادقة.


💰 التكلفة
17 قشرة فلدسبارية و7 تيجان Emax — 112,000 AED

رئيس قسم طب الأسنان
الدكتورة أولغا فورونيتس
مصممة ابتسامتك الجميلة.الابتسامة تليق بك!
طبيبة أسنان بخبرة 16 سنة
ماذا يقول مرضانا؟
FAQ
ماذا يمكنني أن أتوقع في زيارتي الأولى؟
في Definitive Dental، نحن نسعى لجعل كل زيارة مريحة قدر الإمكان. سيستقبلك موظفونا الودودون، ويرشدونك خلال موعدك، ويجيبون على أي أسئلة لديك. عيادتنا تقدم عددًا من وسائل الراحة مثل المناشف المجانية، وبرامج التلفزيون، والراديو عبر الإنترنت لجعل زيارتك ممتعة.
ما هي خدمات طب الأسنان التي تقدمونها؟
في Definitive Dental، نقدم مجموعة كاملة من خدمات طب الأسنان لتلبية احتياجات مرضانا. وتشمل هذه الرعاية الوقائية، والإجراءات الترميمية، والعلاجات التجميلية، وتقويم الأسنان، وخدمات طب الأسنان الطارئة. سواء كنت بحاجة إلى فحص روتيني أو علاج أسنان متقدم، نحن هنا لخدمتك.
هل هذه عيادة أسنان خالية من الألم؟
نحن نسعى لجعل تجربتك مريحة قدر الإمكان. على الرغم من أن بعض إجراءات الأسنان قد تسبب بعض الانزعاج الطفيف، إلا أننا نستخدم تقنيات متقدمة وخيارات مهدئة لتقليل أي ألم أو قلق. فريقنا مكرس لضمان شعورك بالراحة خلال زيارتك.
هل يمكنني مشاهدة آراء المرضى عن عيادتكم؟
نعم! نحن نؤمن بالشفافية ونفخر بالتعليقات الإيجابية التي تلقيناها من مرضانا. يمكنك العثور على آراء المرضى على موقعنا الإلكتروني ومنصات أخرى حيث نحن مدرجون. نحن نشجعك على قراءة تجارب الآخرين للحصول على فكرة أفضل عن ما يمكن توقعه.
هل يمكن لجميع أفراد عائلتي الحصول على العلاج في نفس اليوم؟
نعم، نحن نرحب بالعائلات! نحن نفهم مدى أهمية تنسيق زيارات الأسنان لجميع أفراد العائلة، لذا نبذل قصارى جهدنا لاستيعاب عدة أفراد في نفس اليوم. يُرجى الاتصال مسبقًا لتحديد المواعيد، وسنبذل قصارى جهدنا لضمان رؤية الجميع بكفاءة.


