When Veneers Are in the Hand, but Pain Is on the Face
Oksana
1️⃣ Before — "Doctor, my veneer fell off again…"
Oksana is a confident, beautiful woman living in Dubai. She had undergone aesthetic dental treatment before — and came to me… holding her veneers in her hand.
🗣️ “Dr. Olga, I can’t take this anymore. They keep falling off, chipping, and my teeth hurt. Do whatever it takes — I want to smile, not be afraid!”
Her disappointment was deep — but that's where true transformation begins.



2️⃣ Process — Untangling Mistakes and Doing It Right
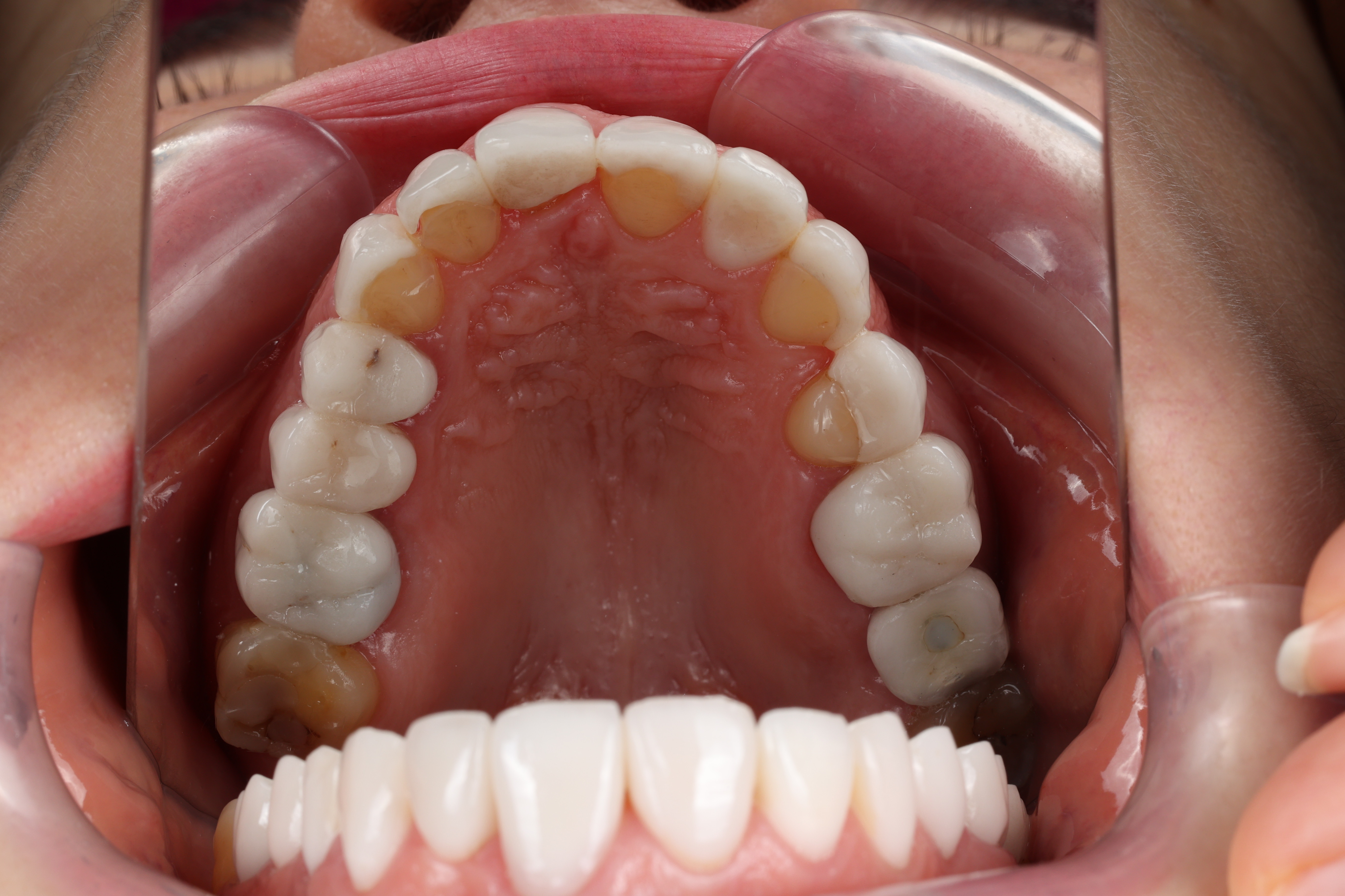
🔍 We began with a full diagnosis.
❗ First, I saw that her teeth had been overly prepared — with nearly all the enamel removed. Veneers should be bonded to enamel for strength and durability. This was a critical error.
⚠️ Second, there had been no functional analysis. Her bite was unbalanced, ceramics were fracturing, and muscles were overloaded.
📷 We completed a photo protocol, designed a physiological bite, and gave her temporaries to adapt with. Then we created custom Emax veneers and crowns, perfectly tailored to her function and aesthetics.
3️⃣ After — When You Feel Like Smiling Again
✨ Today, Oksana is transformed — radiant, relaxed, and fearless.
👩👧 “Doctor, I smile now for no reason. Even my kids noticed and said: ‘Mom, you're finally smiling again!’”
She now calls her smile “the best in Dubai” — and I agree, because behind it lies true care and thoughtful work.


💰 Cost
17 feldspathic veneers and 7 Emax crowns — 112,000 AED

Dr. Olga Voronets
Designer of your beautiful smile. Smile - it suits you!
Dentist with 16 years of experience
What our patients say
FAQ
What can I expect on my first visit?
At Definitive Dental, we endeavor to make each visit as comfortable as possible. Our warm and friendly staff will welcome you, walk you through your appointment, and answer any questions you have. Our clinic offers a number of amenities like complimentary towels, television programming, and internet radio to make your visit a pleasant one.
What dental services do you provide?
At Definitive Dental, we offer a full range of dental services to meet the needs of our patients. These include preventive care, restorative procedures, cosmetic treatments, orthodontics, and emergency dental services. Whether you need a routine check-up or advanced dental work, we’ve got you covered.
Is this a pain-free dental practice?
We strive to make your experience as comfortable as possible. While some dental procedures may cause mild discomfort, we use advanced techniques and sedation options to minimize any pain or anxiety. Our team is dedicated to making sure you feel at ease during your visit.
Can I see patient reviews of your practice?
Yes! We believe in transparency, and we are proud of the positive feedback we’ve received from our patients. You can find patient reviews on our website and other platforms where we are listed. We encourage you to read the experiences of others to get a better idea of what you can expect.
Can my whole family come in for treatment on the same day?
Yes, we welcome families! We understand how important it is to coordinate your family’s dental visits, so we make every effort to accommodate multiple family members on the same day. Please call ahead to schedule appointments, and we’ll do our best to ensure everyone is seen efficiently.


