When the Solution Is Simpler Than It Seems

Oleg

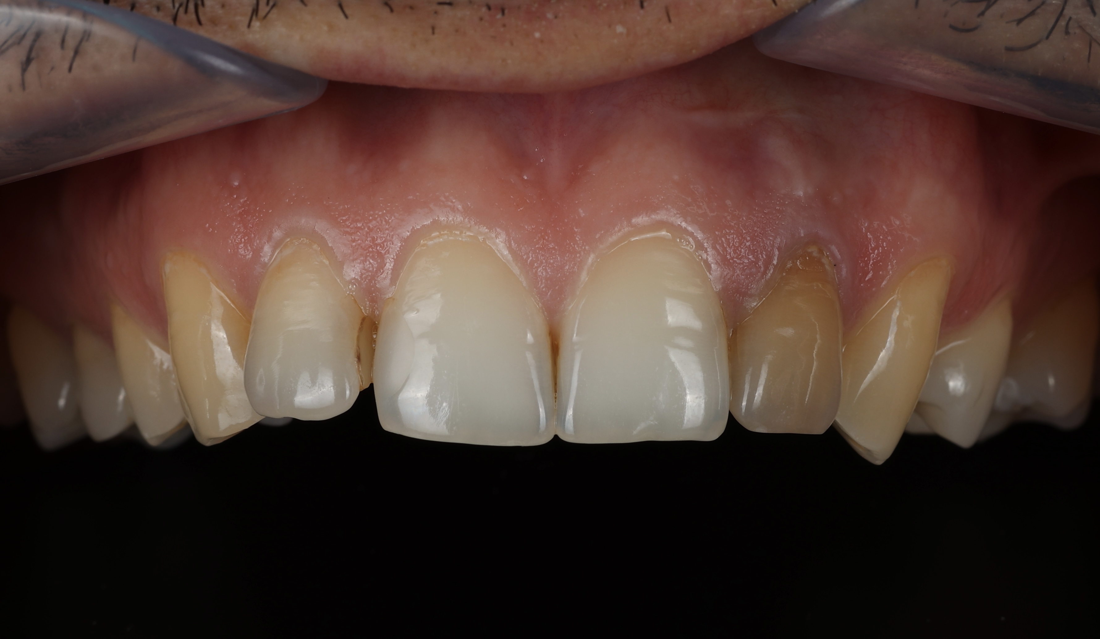
📍 Before — “Doctor, I don’t like my front tooth…”

 

Oleg is an open and positive person who cares about making a good first impression. At the appointment, he immediately said:

“Dr. Olga, could you please take a look? One of my front teeth looks dark — it stands out from the rest of my smile. Can we cover it with a veneer or crown so it looks more aesthetic?”

At first glance, it seemed like a ceramic restoration was unavoidable. But in my practice, I always follow the principle:
🔍 Minimum intervention — maximum result.

 

 

🔧 Process — Find the Root Cause and Don’t Overcomplicate

 

After an exam and X-ray, we discovered that the tooth had previously undergone endodontic treatment, and the darkening was likely caused by the material used.

 

But veneer or crown?
🛑 Not so fast.

 

I offered Oleg internal bleaching — a gentle and effective method that brightens the tooth from the inside.

  • ✔ No drilling
    ✔ No tissue loss
    ✔ No aggressive treatment
  •  
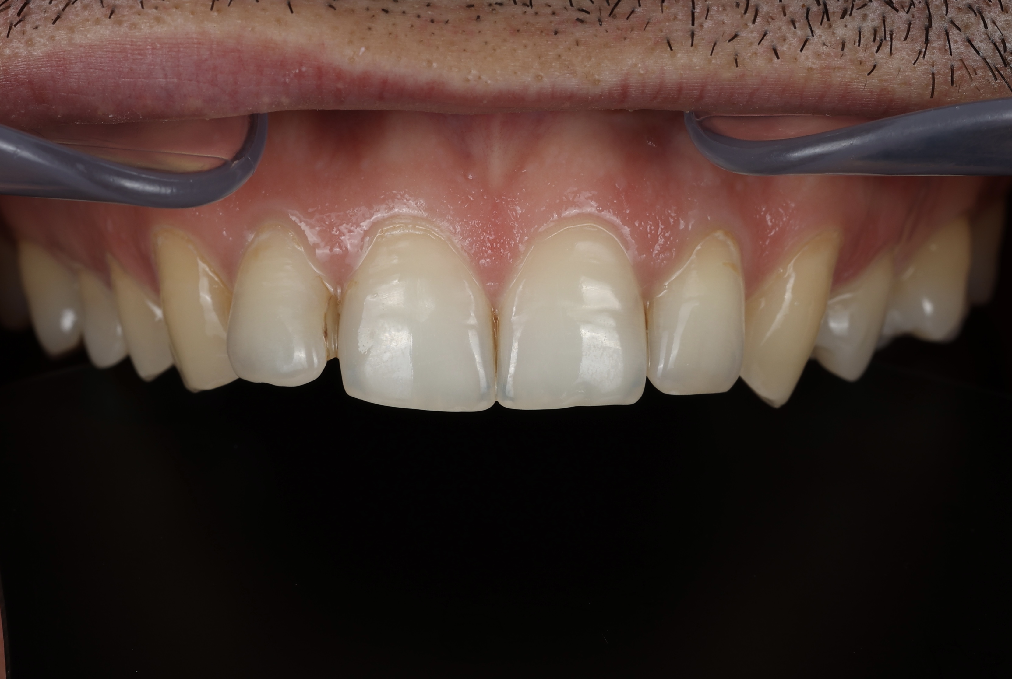
  • In just a couple of visits, the procedure was done — and the tooth color was visibly aligned with the others.
  •  
  • 🌟 After — A Brighter Smile and a Grateful Patient

  •  

The result exceeded expectations:

  • ✨ The dark spot disappeared
    ✨ The tooth no longer stood out
    ✨ The smile looked natural and even
  •  
  •  
  • And the best part — the cost:
    💰 Only 500 AED instead of the cost of a veneer or crown.
  •  
  • Oleg was sincerely happy and said:

    “Thank you for not just treating me beautifully, but also thinking about me and my wallet!”

     

    Sometimes magic isn’t about complex protocols — it’s about an honest and thoughtful doctor’s approach.

Dr. Olga Voronets
Smile suits you! Head of Dentistry

Dr. Olga Voronets

Designer of your beautiful smile. Smile - it suits you!

Dentist with 16 years of experience

Get a free consultation

What our patients say

Glam Smile testimonial

Спасибо, все очень чисто и стерильно, приятно лечиться у такого доктора.

Glam Smile testimonial

Доктор Ольга, решила мою проблему быстро и качественно. Спасибо вам большое, рекомендую вас всем друзьям.

Glam Smile testimonial

Спасибо, за прекрасную улыбку доктору Ольге, приятно видеть работу профессионала своего дела.

FAQ

What can I expect on my first visit?

At Definitive Dental, we endeavor to make each visit as comfortable as possible. Our warm and friendly staff will welcome you, walk you through your appointment, and answer any questions you have. Our clinic offers a number of amenities like complimentary towels, television programming, and internet radio to make your visit a pleasant one.

What dental services do you provide?

At Definitive Dental, we offer a full range of dental services to meet the needs of our patients. These include preventive care, restorative procedures, cosmetic treatments, orthodontics, and emergency dental services. Whether you need a routine check-up or advanced dental work, we’ve got you covered.

Is this a pain-free dental practice?

We strive to make your experience as comfortable as possible. While some dental procedures may cause mild discomfort, we use advanced techniques and sedation options to minimize any pain or anxiety. Our team is dedicated to making sure you feel at ease during your visit.

Can I see patient reviews of your practice?

Yes! We believe in transparency, and we are proud of the positive feedback we’ve received from our patients. You can find patient reviews on our website and other platforms where we are listed. We encourage you to read the experiences of others to get a better idea of what you can expect.

Can my whole family come in for treatment on the same day?

Yes, we welcome families! We understand how important it is to coordinate your family’s dental visits, so we make every effort to accommodate multiple family members on the same day. Please call ahead to schedule appointments, and we’ll do our best to ensure everyone is seen efficiently.

Get a FREE Counselling session

Contact Us