Елена — от беспокойства к уверенности
Елена

Елена обратилась ко мне с пожеланием создать естественную, но ухоженную улыбку. Её беспокоили сколы на передних зубах, повышенная чувствительность и стираемость жевательных. Она хотела снова чувствовать уверенность, когда улыбается — свободно и искренне.

На первом клиническом фото видно: резцы имеют сколы, эмаль — неоднородна, край зубов — “размыт”. Форма не подчёркивает гармонию лица. Всё это мешало Елене наслаждаться собственной улыбкой.

Подготовка была максимально деликатной — минимальное препарирование в пределах эмали. Мы сохраняем здоровую ткань, ведь именно в этом залог долговечности и естественности результата.

Фиксация виниров проводилась под коффердамом — в абсолютной изоляции. Это обеспечивает прочную и точную посадку, а значит — стабильность результата на годы.

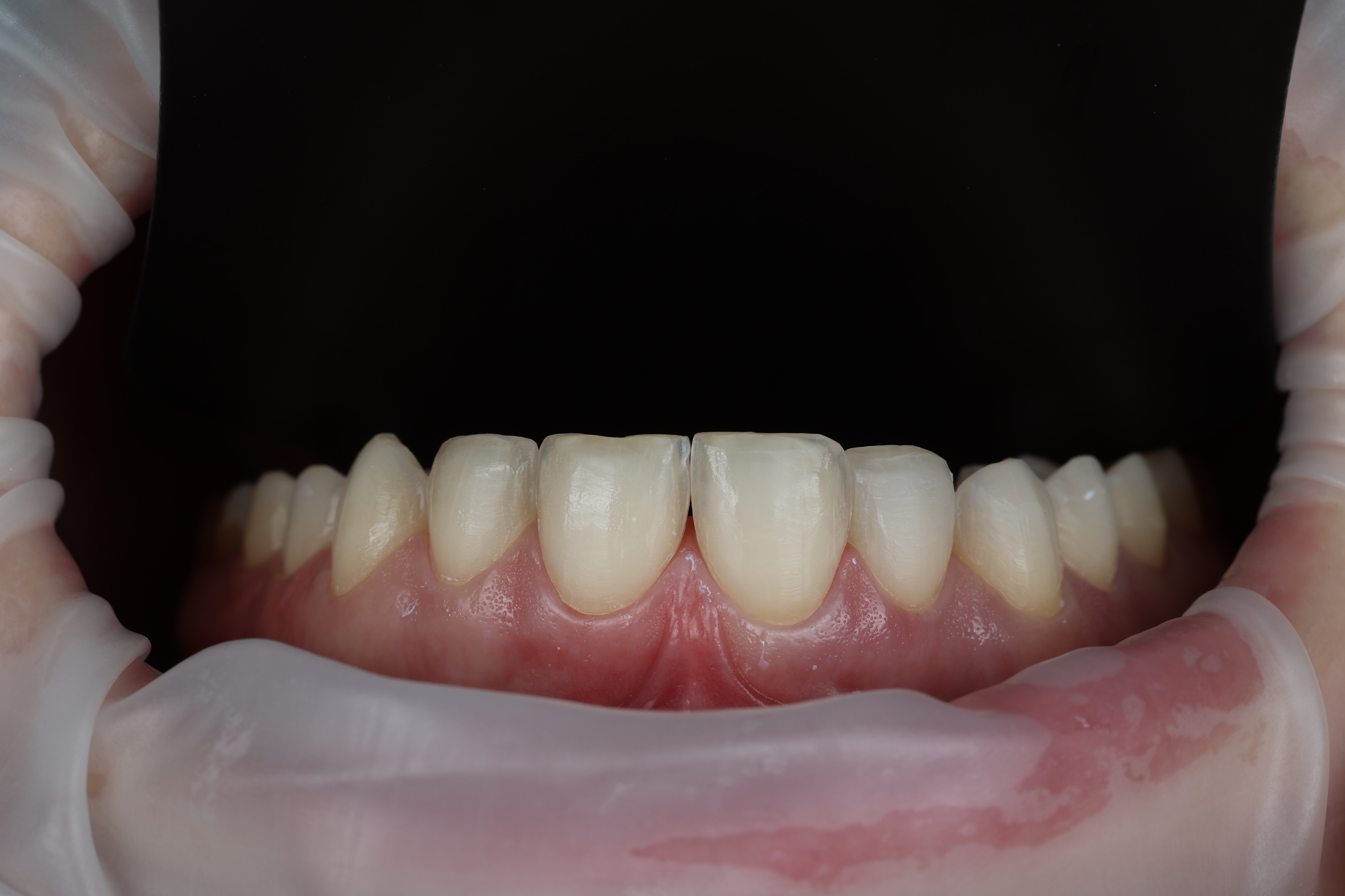
И вот она — новая улыбка! Елена буквально светилась в зеркале. В её глазах читалась благодарность, облегчение и восторг. Стоматология — это про красоту, но ещё больше — про эмоции.

Посмотри на это совершенство! Зубы выглядят как свои: прозрачность, текстура, цвет и форма — всё индивидуально подобрано под черты лица, белки глаз, губы. Это не просто зубы. Это улыбка, которая меняет всё.
💰 Стоимость работы, 28 зубов: 120,000 AED

Руководитель стоматологического отделения
д-р Ольга Воронец
Дизайнер вашей красивой улыбки. Улыбка — вам идёт!
Стоматолог с 16-летним опытом
Что говорят наши пациенты
FAQ
Что я могу ожидать на первом визите?
В Definitive Dental мы стараемся сделать каждый визит максимально комфортным. Наши приветливые и дружелюбные сотрудники встретят вас, проведут по вашему визиту и ответят на любые вопросы. В нашей клинике есть несколько удобств, таких как бесплатные полотенца, телевизионные программы и интернет-радио, чтобы ваш визит был приятным.
Какие стоматологические услуги вы предоставляете?
В Definitive Dental мы предлагаем полный спектр стоматологических услуг для удовлетворения потребностей наших пациентов. Это включает профилактическое обслуживание, восстановительные процедуры, косметические процедуры, ортодонтию и неотложные стоматологические услуги. Независимо от того, нужна ли вам плановая проверка или сложное лечение, мы обеспечим вас всем необходимым.
Это безболезненная стоматологическая практика?
Мы стараемся сделать ваше пребывание максимально комфортным. Хотя некоторые стоматологические процедуры могут вызвать легкий дискомфорт, мы используем современные методы и варианты седации для минимизации боли или беспокойства. Наша команда заботится о том, чтобы вы чувствовали себя комфортно во время визита.
Могу ли я ознакомиться с отзывами пациентов о вашей клинике?
Да! Мы ценим прозрачность и гордимся положительными отзывами, которые мы получаем от наших пациентов. Вы можете найти отзывы на нашем сайте и других платформах, где мы представлены. Мы призываем вас ознакомиться с множеством отзывов, чтобы лучше понять, чего можно ожидать.
Может ли вся моя семья пройти лечение в один день?
Да, мы рады обслуживать семьи! Мы понимаем, как важно согласовать визиты всех членов семьи, поэтому мы делаем все возможное, чтобы обеспечить прием нескольких человек в один день. Пожалуйста, позвоните заранее для записи на прием, и мы сделаем все возможное, чтобы все были приняты эффективно.


